相模原市古淵のホワイトニングなら こぶちファミリー歯科クリニック
ホワイトニング
トップページ
院内紹介
院内設備
診療時間、診療科目
歯科について知ろう
予防歯科
歯のクリーニング
バイオフィルム感染症とは
フッ素で虫歯予防
フッ素の3つの効果
歯医者さんでフッ素塗布!
虫歯
虫歯のメカニズム
虫歯になりやすい食品って?
歯周病(歯槽膿漏)
歯周病ってどんな病気?
歯周病のメカニズム
歯周病は自覚症状がない病気
歯周病の進行パターン
歯周病が全身をむしばむ
歯周病(歯槽膿漏)のメンテナンス
小児歯科
歯医者さんはこわくない
乳歯はとてもデリケート
乳歯の虫歯を放っておくと
乳歯が生えるのはいつ?
永久歯が生えるのはいつ?
シーラント(歯の溝埋め)
幼若永久歯って?
6才臼歯を守ろう!
次世代へ健康な歯をプレゼント
妊婦歯科(マタニティ歯科)
妊娠すると歯が悪くなる?
矯正歯科
矯正治療をいつ頃から?
悪い歯並びのデメリット
審美歯科
ホワイトニングで歯を白くする
オフィスホワイトニング
ホームホワイトニング
デュアルホワイトニング
アクセス
求人情報
お問い合わせ
歯科・小児歯科・矯正歯科・予防歯科・審美歯科・ホワイトニング
歯科について知ろう>審美歯科>ホワイトニング
ホワイトニングは、歯を削ることがない、 歯にやさしい審美治療(審美歯科)です。
歯を削らないで白くする方法です。歯の外側に専用のジェルを塗り歯を漂白する方法です。 歯を傷める心配がないので、天然歯の色調を改善したいなら、まず第一に選択したい方法です。
歯医者さんで短時間で白くする
オフィスホワイトニング
と、ご自宅で徐々に時間をかけて白くする
ホームホワイトニング
の二つの方法があります。 二つのうちどちらか、あるいはこの
二つの方法を組み合わせて用いる(
デュアルホワイトニング
)
など、効果や希望によって方法を選択します。
ただし、被せ物や詰め物には効果がなく、あくまで天然歯に限られます。
ホワイトニングは明るく健康的な歯を演出します。
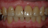
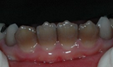
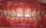
かつて歯を白くするためには、歯を削りプラスチックやセラミックで覆う方法しかありませんでした。 しかし現在では、歯を削ることなく、歯自体の色を白くする「ホワイトニング」が主流になっています。 今や若い女性だけでなく、男性やご年配の方々にも広まっているホワイトニング。 コーヒーや紅茶、赤ワインにタバコなどの嗜好品による着色だけでなく、多量の紫外線や神経を抜いて黒ずんでしまった歯の色も、 ホワイトニングで白く美しく生まれ変わらせることができます。
ホワイトニングで若々しい笑顔を手に入れよう!
歯に色がつく理由
● コーヒー、お茶、タバコ等による変色
色素が歯の内部にまで取り込まれることにより歯が黄色く見えてしまいます。
● 加齢による変色
年齢を重ねるにしたがって、人の歯は自然と黄色く変色していきます。
● 神経のない歯
神経のない歯は、月日の経過とともに少しずつ変色してくることがあります。
歯の内側からホワイトニングが可能です。
歯に外傷を受けたりしても変色してくることがあります。
● 薬剤による変色
歯の形成期にテトラサイクリン系の抗生物質を服用していた場合、変色することがあります。
一般的に、グレーや茶褐色の入った色をしています。
ホワイトニングの効果はありますが時間がかかります。
変色の軽度のものは、時間かけて根気よく行うとある程度は改善できますが、重度の変色は、ホワイトニングだけでは十分な改善が難しいです。
これらの理由により歯が変色してしまった場合には
「ホワイトニング」で改善することができます。
当院にてご相談ください。
モバイルサイト
初めての来院の際に便利です
http://www.kobufami-dental.com/mobile/
更新日:
本サイトに掲載されている画像等、 全ての内容の無断転載・引用を禁止します。
Copyright (C) Kobuchi Family Dental Clinic. All Rights Reserved.
こぶちファミリー歯科クリニック 相模原市南区古淵3-2-7 アポロマキシム1 042-707-7456 古淵駅 徒歩3分