歯周病ってどんな病気?
歯周病ってどんな病気?
トップページ
院内紹介
院内設備
診療時間、診療科目
歯科について知ろう
予防歯科
歯のクリーニング
バイオフィルム感染症とは
フッ素で虫歯予防
フッ素の3つの効果
歯医者さんでフッ素塗布!
虫歯
虫歯のメカニズム
虫歯になりやすい食品って?
歯周病(歯槽膿漏)
歯周病ってどんな病気?
歯周病のメカニズム
歯周病は自覚症状がない病気
歯周病の進行パターン
歯周病が全身をむしばむ
歯周病(歯槽膿漏)のメンテナンス
小児歯科
歯医者さんはこわくない
乳歯はとてもデリケート
乳歯の虫歯を放っておくと
乳歯が生えるのはいつ?
永久歯が生えるのはいつ?
シーラント(歯の溝埋め)
幼若永久歯って?
6才臼歯を守ろう!
次世代へ健康な歯をプレゼント
妊婦歯科(マタニティ歯科)
妊娠すると歯が悪くなる?
矯正歯科
矯正治療をいつ頃から?
悪い歯並びのデメリット
審美歯科
ホワイトニングで歯を白くする
オフィスホワイトニング
ホームホワイトニング
デュアルホワイトニング
アクセス
求人情報
お問い合わせ
歯科・小児歯科・矯正歯科・予防歯科・審美歯科・ホワイトニング
歯科について知ろう>歯周病(歯槽膿漏)>歯周病ってどんな病気?
歯周病(歯槽膿漏)とは
歯周病は以前は「歯槽膿漏」と呼ばれていました。歯槽膿漏とは歯ぐきから膿(うみ)の出る病気という意味で呼ばれていました。しかし、歯ぐきが腫れる、歯がぐらぐらするなどその他にも様々な症状があることから、現在では歯周病と呼ぶようになりました。
どんな病気?
歯周病は歯を支える土台である「歯周組織」が壊れる病気で、「歯肉炎」から「歯周炎」と進行します。歯肉炎の段階では歯肉が赤み、腫れ、ブラッシング時の出血などですが、中等度になると、歯を支える骨が吸収して歯がぐらつき始めます。重度になると、さらに骨の吸収が進み、歯が抜けることもあります。
歯周病は、成人では80%以上の人にあるといわれるほど身近な病気です。しかし、
かなり重度にならないと、痛みなどの自覚症状が現れにくいために、歯周病が起こっていることに気づかない病気です
。
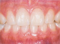
1. 健康な歯ぐき
歯ぐきがピンク色でひきしまっている
2. 歯肉炎
歯ぐきが腫れてきた。血が出る
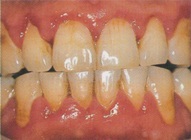
3. 軽度の歯周炎
歯ぐきがすいてきた
4. 中等度の歯周炎
歯が長くなったように見える
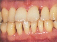
5. 重度の歯周炎
歯がぐらぐらになった
では、どうして歯周病が起きるのでしょうか?
歯茎から血がでたら、今すぐに歯医者さん(歯科医院)へ
モバイルサイト
初めての来院の際に便利です
http://www.kobufami-dental.com/mobile/
更新日:
本サイトに掲載されている画像等、 全ての内容の無断転載・引用を禁止します。
Copyright (C) Kobuchi Family Dental Clinic. All Rights Reserved.
こぶちファミリー歯科クリニック 相模原市南区古淵3-2-7 アポロマキシム1 042-707-7456 古淵駅 徒歩3分